Conformément au planning annoncé par la clinique, en Day 1, nous recevons bien un mail de leur part sur l’avancement embryonnaire. Un récapitulatif a été déposé sur notre espace en ligne.
Sur les 22 ovocytes, 16 ont été fécondés normalement, 2 sont sous observation et 4 n’ont pas été fécondés. La méthode ICSI semble avoir été le bon choix. Nous recevons également un lien qui nous permet de suivre en temps réel l’évolution des embryons.
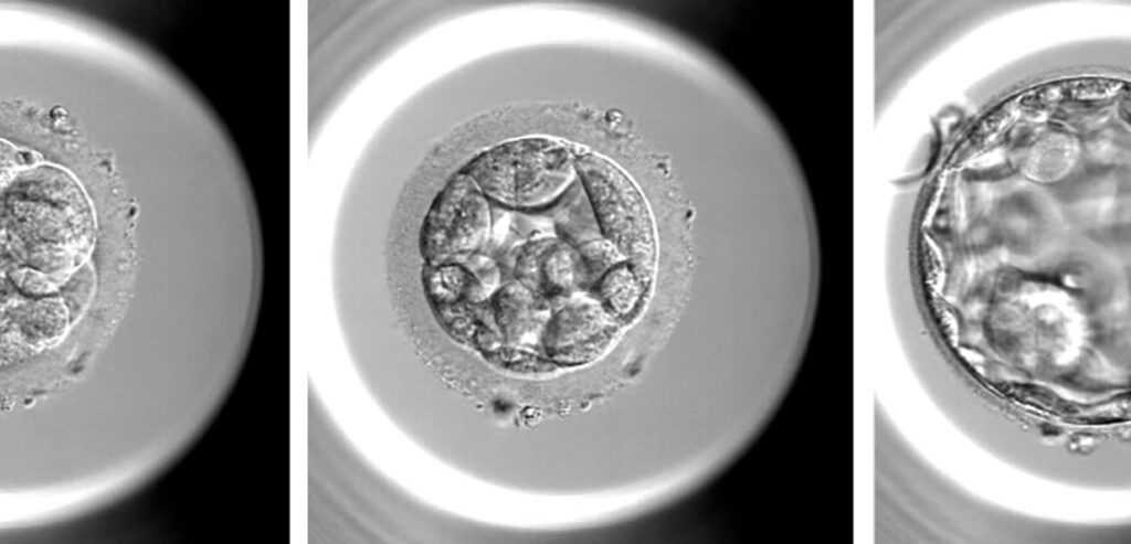
La chose est un choc absolument fascinant. Chaque embryon est filmé 24h/24 et nous avons le pouvoir de retracer, en accéléré, leurs évolutions individuelles. Nous redécouvrons & admirerons en direct le fabuleux pouvoir de la division cellulaire.
On l’oublie bien trop souvent mais ce simple évènement de la division cellulaire est l’acte le plus fondamental de l’histoire de la vie. Sans cette division, la vie n’aurait jamais pu se maintenir, se complexifier, évoluer. Et cette chose invisible est absolument partout autour de nous : cicatrisation, croissance, renouvellement de la peau, du sang, reproduction sexuée, formation des tissus, des organes… Partout. Et si toutefois il nous arrivait d’oublier nos origines, cette division est la même pour les humains que nous sommes, les animaux et les plantes.
Ainsi, avec notre téléphone, nous pouvons admirer la 1ère division cellulaire de nos embryons, puis leurs multiples, 2, 4, 8, 16… Et bien qu’encore très loin d’un être vivant, il s’agit de la première avancée plus ou moins concrète que nous voyons depuis le début du processus.
Et grâce, là encore, à nos cours de SVT passés, en quelques heures, nous sommes devenus des experts de la fécondation in vitro. Désormais, nous sommes capables de définir quel embryon est en forme, lequel est un peu à la traîne, et pouvons même repérer si des choses plus ou moins inquiétantes sont en train de se produire.
Remis de nos émotions, Monsieur se retrouve chez notre médecin traitant et en profite pour lui rappeler l’histoire de la vie grâce à nos images sur téléphone. Dans un premier temps, notre médecin est plutôt ébahi par la vitesse d’exécution de notre aventure plutôt que par notre téléphone. Il nous rappelle surtout qu’entre notre 1re demande de prises de sang et ce film embryonnaire, il s’est à peine passé quelques mois. Ah bon ? Vous trouvez cela rapide ?
Ce constat passé, il est enfin ébahi par notre film embryonnaire. Il n’avait jamais vu une telle chose à disposition des patients. Il avoue surtout que suite à notre 1er rdv, il était un peu fébrile sur la tournure que pouvaient prendre les évènements de cette folle aventure au Canada. Il semble plutôt rassuré.
Évidemment, il est indispensable de garder en tête que rien n’est gagné.


Laisser un commentaire