Et oui, pourquoi encore un énième blog sur la GPA ?
Car lors de la construction de notre parcours, il nous a manqué ce petit quelque chose, une sorte de récit narratif, décrivant les différentes étapes pas à pas.Il y a bien évidemment de nombreux blogs de qualité, qui ont été pour nous une mine d’or, mais nous n’avons pas trouvé de description chronologique, ou chaque étape serait décrite de manière presque voyeuriste tel un journal intime qui aurait été volé…
Car aussi, beaucoup de blogs et récit sur le net sont racontés par des couples gays. Et avec tt le respect que nous avons pour ces couples qui ont réussi leurs parcours GPA, parfois, la partie féminine de notre couple hétéro, celle qui est une défaillance totale pour mener à bien une grossesse comme il se doit, aurait bien eu envie de lire 2 ou 3 bricoles sur ses congénères. D’autant que cette défaillance du corps a été une motivation, si ce n’est une réaction importante, à la construction de notre parcours GPA.Car aussi, nous souhaitons pouvoir apporter une petite pierre aux futurs parents souhaitant se lancer dans ce processus. Etant donné que nous n’avons absolument aucun intérêt à défendre le parcours GPA plutôt qu’une adoption ou autre chose, nous espérons que notre récit permettra de renforcer les convictions, qu’il s’agisse de s’engager dans le processus, ou le fuir à grandes enjambées.Car aussi, peut-être utilisons nous tout simplement cet espace pour raconter cette histoire, telle une thérapie, nous permettant de prendre conscience de tout ce que nous avons déjà accompli & peut être que face à tous ces choix et actions engagés, le temps qui nous semble parfois si long serait finalement un mal bien nécessaire
Et oui, pourquoi encore un énième blog sur la GPA ?
LES DERNIERS ARTICLES
-
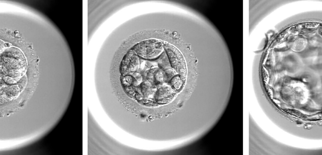
M+5 // METHODOLOGIE & EMBRYONS

Après quelques affolements générés par Google Agenda, qui a sympathiquement pris l’initiative de retranscrire l’heure de notre rdv à Toronto en heure française, nous implorons…
-
M+5.5 // CONFIANCE EN L’HUMAIN

La date de prélèvement approche. Nous suivons par mail les différents échanges entre la donneuse, l’agence et la clinique. Une organisation importante se met en…
-
M+5.7 // PRELEVEMENT

Soulagement, la donneuse est sur place. Nous ignorons si, dans les 15 prochains jours, nous aurons des nouvelles sur l’avancée des événements.Très vite, le doute…
-
M+6 // EMBRYONNAGE

Nous y sommes. La création des embryons est imminente. Il faut bien admettre que tout s’est passé exceptionnellement vite. Et comme depuis le début de…
-
M+6.1 // FECONDATION DAY 1

Conformément au planning annoncé par la clinique, en Day 1, nous recevons bien un mail de leur part sur l’avancement embryonnaire. Un récapitulatif a été…
-
M+6.2 // FECONDATION J+3 / J+5 / J+7

J+3, nouveau mail sur la plateforme de la clinique. 18 embryons continuent de se développer normalement. À ce stade, les embryons ont environ 16 cellules…
-
M+6.3 // RDV PGT-A

3 semaines après la fin de la procédure embryonnaire, nouvelle Visio avec notre médecin. 3 semaines, c’est long, mais paraît-il qu’il s’agit du délai minimal…
-
M+6.4 // NOTRE PROFIL

À peine le questionnaire rendu, nous avons déjà une nouvelle mission de notre agence : établir notre profil de futurs parents.Celui-ci sera diffusé uniquement aux…
-
M+6.5 // SURROGATE NOUS VOILÀ !

Non sans fierté vis-à-vis de notre avancée, nous nous retournons vers notre agence, Proud Fertility, pour passer à l’étape suivante, et ce, en fanfaronnant avec…
-
M+6.6 // NOTRE PROFIL VIDÉO

Quelques jours auront suffi à l’agence pour nous faire un retour concernant notre profil : It’s perfect ! Génial, le syndrome de la bonne élève…
